ぼくは顎変形症があって、かみ合わせが悪く、そのため、上下の顎を切る手術を前提の、歯列矯正を行ってきました。
これまでの記録は以下の記事にまとめています。
- 【歯列矯正日記 #01】歯の噛み合わせが悪いので、そろそろ治療することにしました
- 【歯列矯正日記 #02】上の歯を抜歯。どの歯を抜く??
- 【歯列矯正日記 #03】上の歯に矯正装置を装着。やっぱり食べにくい。
- 【歯列矯正日記 #04】下の歯を抜歯&矯正装置を装着。
- 【歯列矯正日記 #05】歯列矯正中のデンタルケア:ぼくの夜の6ステップ を紹介します!
- 【歯列矯正日記 #06】歯列矯正をはじめて半年。思ってた以上に並んできました!【閲覧注意】
- 【歯列矯正日記 #07】歯列矯正はじめて約1年経過!顎切り手術日も決定【閲覧注意】
- 【歯列矯正日記 #08】歯列矯正はじめて約1年半経過。アゴを切る手術の準備も【閲覧注意】
- 【歯列矯正日記 #09】顎を切る手術に向け、自己貯血400mlしてきた
そして先日、とうとう、上下の顎を切る手術(骨切り手術)を行ってきました!
今回は、手術当日と術後の様子、入院中のリアルな体験をブログに残しておきたいと思います。これから手術を控えている方の参考になれば幸いです!が、参考にはならなそうなことしか書いてないと思います。
手術当日の流れ:病院到着から手術室へ
手術前日の夜から飲食は禁止。当日は11時半に病院へ向かいました。
到着すると、まずは手術用の衣服を渡され着替えました。下着も脱いで全裸になり、浴衣のような手術着を一枚だけ羽織るスタイルです。ヘアキャップみたいなのも被ります。

足には「着圧ソックス」というものを履かされました。これは手術中の血流を良くするためのものだそうです。
着替えてしばらくすると、いよいよ手術室へ。 ベッドのような手術台に寝かされました。はじめて全身麻酔で手術を受けるので緊張していたのですが、手術室の中にはなぜか陽気なアメリカンポップスのような音楽(?)が流れていたのが新鮮でした。
先生のテンションを上げるためなのか、ぼくの緊張を解くためなのかは分かりませんが、少しだけ肩の力が抜けた気がします。手術中って音楽を流すと聞いたことあるけど、こういうことなんですね。
執刀医の先生に加え、麻酔専門の先生もいらっしゃいました。挨拶の後、手術着の胸元を開けられ、身体にいろんな管や針がテキパキとつけられていきます。
口には呼吸用のマスクのようなものを装着。「あぁ、始まるんだな」と思ってしばらくしたら、いつの間にか眠りに落ちていました。
目覚めたら手術終了。術後のリアルな状態
次の瞬間、というか目を開けたときには、もう手術が終わっていました。
「わかりますか〜、意識ありますか〜」
「おわりましたよ〜、今、17:30くらいです」
と呼びかけられ、意識が戻りました。どうやら4〜5時間に及ぶ手術だったようですが、体感としては一瞬でした。
手術が無事に終わったことには安心しましたが、顔や身体には管がつながった状態。そのまま別の病室へ運ばれ、そこで一晩を過ごすことになります。 術後の急変に対応できるよう、執刀医の先生や麻酔科の先生が徹夜で待機してくださっているそうで、本当に頭が下がります。
通常、大学病院などでこの手術を受ける場合は4〜5日の入院が必要らしいのですが、今回ぼくがお世話になった病院では、なんと入院はその日1日だけ。 翌日には退院できるというスピードスケジュールです。
術後の自分の姿
術後の自分の姿を確認してみると、なかなか壮絶な状態でした。あまり良くわかっていませんが、上下の顎の骨を切って3分割して角度を調整してくっつける、みたいな手術だと思います。
YouTube にそれっぽい手術の説明動画があったので貼っておきます。(こちらの病院ではありませんが)
鼻の下の部分はそのうち身体に吸収される素材のプレート、それ以外の部分は金属のプレートを入れて固定しているそうです。

- 口の中: 下顎の左右に1本ずつチューブが入っている(顎の骨にドレーンを通し、出血を外に出すため)。
- 首から下: ドレーンから出た血が溜まるパックのようなものがぶら下がっている。
- 顔面: 腫れ防止か固定のためか、バンドでぐるぐる巻きに圧迫されている。その上からさらにアイスノンを巻き、顎と頬を徹底的に冷却。
- 腕: 食事が取れないため、点滴と痛み止めを流す管がつながっている。
- 尿道: 管が入っており、自力では排尿できない状態。

この状態で、ベッドに上半身を起こし気味にして寝かされ、一晩を過ごしました。
術後の痛みと、幻覚(?)の夜
30年ほど前にサッカーをやっていて左手首を骨折したときは、痛みで一晩中一睡もできなかった記憶があります。
しかし今回は、骨をきれいに切断して接着しているからか、あるいは痛み止めがしっかり効いているからか、あまり強い痛みを感じることはありませんでした。
なんとなく、上下の顎のところがズーン、と重いような感じです。顎はそんな感じですが、鼻はずっと腫れた状態で内部もずっと鼻血が出続け、鼻呼吸が一切できない状態でかなり苦しかったです。必死に口呼吸に切り替えて、ただただボーっとしていました。
「スマホで暇つぶしをしたり、テレビを見ても良い」
とは言われていたので、ベッドの上から妻にLINEで手術終了を報告したり、動画を見たりして過ごしました。
とはいえ、やはり疲れてしまうので、目を閉じて静かに過ごす時間が長かったです。
夜中は1時間おきくらいに麻酔科の先生が来て、アイスノンを交換したり、発熱がないか検温をしてくれたりしました。本当に手厚い看護に感謝です。
深夜の「黒い人影」
夜中、ぼくが寝ているベッドの反対側の壁際には、ずっと黒い人影が見えていました。
「ああ、先生が部屋に待機して、夜通しぼくの看病や観察をしてくれているんだな。」
「大変そうだなあ、本当にありがたいなあ……」
と感動しながら見ていたのですが、翌朝、それは壁にかけた自分のダウンジャケットだったことが判明しました。

笑ってしまいましたが、もちろん、実際にお世話をしてくれた先生たちが大変だったことは間違いありません。大感謝です。(先生方は別の部屋で待機されていたようです)
翌朝の試練:通称「チン管」との戦い
朝方になり、尿道の管を抜くことになりました。
お笑い芸人「空気階段」の鈴木もぐらさんが人工股関節の手術をした際、術後の尿道の管(彼はラジオで「チン管(ちんくだ)」と呼んでいました)について語っていたのを思い出しました。
【radikoタイムフリー】
— 空気階段の踊り場(TBSラジオ) (@kuki_odoriba) March 22, 2025
3月17日(月)OA
TBSラジオ「空気階段の踊り場」
もぐら入院・手術・退院までのお話をしています🏥#odoriba954 https://t.co/bkQM2zigME
ずっと嫌がっていた"チン管"。抜く瞬間は意外にも…⇩ pic.twitter.com/r8Ftd8UghH
まさにそれと同じ体験です。
「3、2、1、ドゥルンッ!」 みたいな感じで一気に引き抜かれました。
「これが『空気階段の踊り場』で言っていたやつか!」
と、痛みよりも感動(?)とラジオで聞いてたからゆえのおもしろさが勝りました。
管を抜いた後、「しばらくすると尿意が来るので、最初は我慢して、二度目の尿意でトイレに行きましょう」と説明を受けました。
確かにしばらくすると尿意が。言われた通り一度目は我慢したのですが、限界が来てナースコール。トイレに連れて行ってもらいました。
「ちゃんと出るかな……」
とすごく緊張しましたが、落ち着いてやったら無事に排尿できて一安心でした。
退院、そして帰宅
朝、執刀医の先生が様子を見に来てくれました。顎からの出血量などをチェックし、「問題なし」とのことで、これを2回ほど繰り返しました。
9時過ぎには着てきた服に着替え、退院の準備です。 手術した顎は大きくは開きませんが、声を出して喋ることはできました。
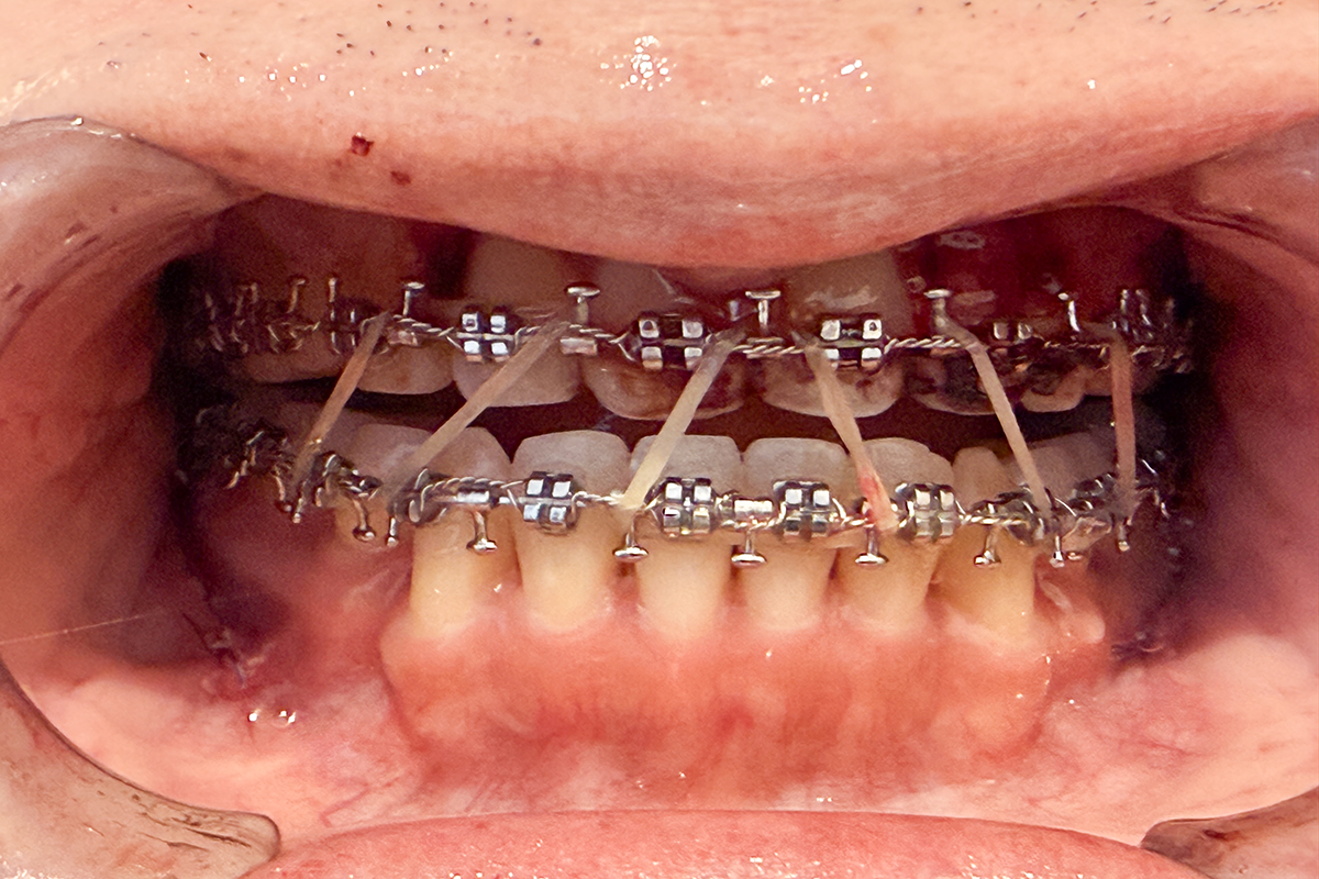
現在、両顎には歯列矯正の装置がついていますが、そこに3本のシリコンゴム(顎間ゴム)をかけ、両顎を固定しています。食事以外の時間は、ずっとこのゴムで顎を固定し続けなければならないそうです。

10時頃、妻が迎えに来てくれたので、先生たちに挨拶をして病院を出ました。 電車でも帰れそうでしたが、念の為タクシーを利用。しかし、久しぶりの外の世界だったからか、夫婦揃って車酔いしてしまいました。
久しぶりの食事
無事に帰宅してホッと一息。 丸一日以上食事をとっていなかったのでお腹は空いていましたが、これから1ヶ月程度は顎が開かず、固形物も噛めません。
- お粥
- 豆腐
- ハンドブレンダーでつくったポタージュスープ
- ゼリー飲料等
これらが毎日のメインの食事になります。 手術後に食べたお粥は、非常に優しく、甘く、温かく……
疲れた心身に染み渡りました。食事をつくってくれる妻にも超絶大感謝です。
これから
手術という大きな山場は越えましたが、療養生活はこれからが本番です。
手術後、2~3日は顔が今以上にパンパンに腫れるそうなので、無理をすることなく、ゆっくりと回復に努めたいと思います。
1週間後、2週間後に術後の診察があるので、その時にはバッチリ回復している姿を先生方に見てもらおうと思います!


コメント